

La ortodoncia es la especialidad de la odontología encargada de prevenir, diagnosticar y corregir las alteraciones en la posición de los dientes dentro de los arcos maxilares.
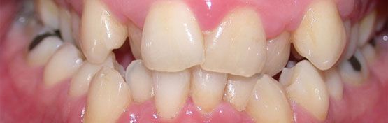
Cuando el espacio en los maxilares no es suficiente para acomodar correctamente todos los dientes, se produce lo que se conoce como apiñamiento dental. Esto provoca que los dientes se ubiquen fuera del arco, viéndose torcidos o desalineados, lo cual afecta no solo la estética de la sonrisa, sino también la mordida y la función masticatoria.
El apiñamiento dental es uno de los problemas más comunes tratados en ortodoncia; sin embargo, con un diagnóstico adecuado y un plan de tratamiento personalizado, es posible corregir la posición de los dientes, logrando un alineamiento estético y una mordida correcta.
En un tratamiento de ortodoncia se pueden utilizar aparatos removibles, también llamados placas de ortodoncia, así como aparatos fijos conocidos como brackets, que se adhieren a la superficie de los dientes. En algunos casos, el tratamiento puede ser combinado, iniciando con aparatos removibles y posteriormente con brackets. La elección del tipo de aparatología y los procedimientos a seguir será determinada por el odontólogo luego de realizar el estudio clínico correspondiente.
Con la ortodoncia puedes alinear tus dientes, mejorar tu mordida y lograr una sonrisa armónica y saludable.
Los brackets son aditamentos que se adhieren a cada uno de los dientes. Pueden ser metálicos o cerámicos; los brackets cerámicos tienen un color similar al del diente, por lo que resultan más estéticos y menos perceptibles que los metálicos. El paciente puede elegir la opción que mejor se adapte a sus necesidades y preferencias.
Un tratamiento de ortodoncia con brackets permite realizar movimientos dentales precisos, tanto individuales como simultáneos, lo que garantiza un alineamiento dental eficaz y controlado.
Al finalizar el tratamiento de ortodoncia con brackets, es necesario colocar retenedores para mantener los dientes en su nueva posición. Estos retenedores pueden ser fijos o removibles y deberán utilizarse durante el tiempo indicado por el odontólogo, quien determinará la opción más adecuada según cada caso clínico.

La ortodoncia con alineadores transparentes Clear Aligner® permite corregir problemas de alineamiento dental y maloclusiones de manera discreta, ya que los alineadores son prácticamente imperceptibles. Por esta razón, una de sus principales ventajas es la estética durante el tratamiento.
La Ortodoncia Invisible Clear Aligner® es una excelente opción para quienes desean mejorar la posición de sus dientes sin afectar la apariencia de la sonrisa durante el tratamiento, ofreciendo comodidad, discreción y una correcta higiene bucal.

Estos aparatos, también conocidos como placas de ortodoncia, no son fijos, por lo que el paciente puede retirarlos al momento de ingerir alimentos y durante su higiene bucal diaria.
Los aparatos removibles se utilizan principalmente en casos de apiñamiento dental leve o cuando es necesario realizar una expansión de los maxilares por estrechez ósea. Asimismo, pueden indicarse en otros tratamientos específicos según la evaluación del caso.
Adicionalmente, se emplean como retenedores removibles al finalizar un tratamiento de ortodoncia con brackets, cuando no es posible colocar un retenedor fijo en la cara interna de los dientes.

Puedes tener tus dientes alineados con un tratamiento de ortodoncia a un precio accesible.
Aquí encontrarás respuestas a las dudas más comunes sobre el tratamiento de ortodoncia. Si tienes alguna otra consulta, no dudes en contactarnos y con gusto te atenderemos.
Casos Clínicos
CASO 1:

Antes del Tratamiento

Despues del tratamiento de Ortodoncia
Renueva tu imagen con Ortodoncia...